Before & Afters

Real Patient Transformations

Changing Lives, One Smile At A Time

Many patients step into our practice with dreams of a brand new grin. Others are looking to repair damage and get their oral health back on track. Seeing these individuals walk out of our doors with a strong smile and newfound confidence is the reason behind our mission here at Berry Dental Group. No matter your goals, we’re honored to be a part of your oral health journey. Take a look at our Before & After gallery to explore real patient stories!

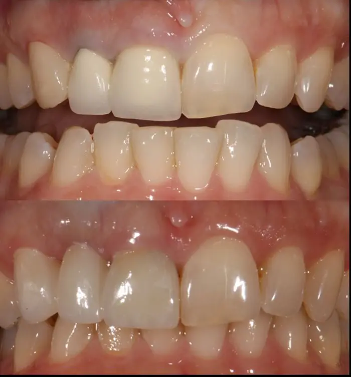
Dental Crowns

Crowns to add length to a patient that had ground their teeth down.

before and after treatment

Before

After

Botox

before and after treatment

Before

After

Botox

before and after treatment

Before

After

Veneers

before and after treatment

Before

After

Cosmetic Makeover

Crowns and Veneers

before and after treatment

Before

After

Bonding

before and after treatment

Before

After

Invisalign

This case was completed in just 4 months!

before and after treatment

Before

After

Cosmetic Case

Crowns & Veneers

before and after treatment

Before

After

Cosmetic Case

before and after treatment

Before

After

OrthoDontics

before and after treatment

Before

After

OrthoDontics

before and after treatment

Before

After

Missing Teeth Makeover

She was missing her lateral teeth, so we worked closely with an orthodontist to move teeth to close the gap, and then change the shapes with veneers to make them blend in better.

before and after treatment

Before

After

Bridges & Partials

Bridge

Schedule your appointment today! 

Schedule Now
Contact Us